在线推理
L4/L5 Locator 模型 + 髂骨识别模型对 X 光数据进行骨化诊断。
支持上传单张超声图,选择模型并发起推理。
支持 PNG / JPG,单张上传
基于 AMI.js 的体数据浏览,可加载本地 .nii / .nii.gz(含分割体)或直接使用远程示例体。暂不接入 TotalSegmentator,仅做可视化演示。
HealthIT AI 脊柱辅助诊断系统 V1.0
本项目旨在构建高精度的脊柱影像分析辅助系统。目前包含三个核心模块:基于 UNetKeypoint 的腰椎关键点定位(L4/L5 Locator)与基于 2D UNet 的颈椎 OPLL 病灶分割,和基于 2D UNet的髂骨上沿识别分割。
系统后端基于 PyTorch 实现,前端采用轻量级 Flask + 当现代 Dashboard 设计。所有推理均在服务器端执行。
1. L4/L5 Locator (X-Ray)
约 4000 例 Sagittal X-Ray 图片训练,使用 HRNet ,输出线性标记直接分类预测椎点。
技术要点与训练细节
- 骨架:采用 HRNet (High-Resolution Network) 作为主干,保持多尺度并行高分辨率流并在阶段间反复交换信息,提升对位置敏感任务(关键点定位、线段化)的空间精度。参考:Wang et al., arXiv:1908.07919。
引用
2. 髂骨上沿识别分割
基于 VGG16-BN 模型,单通道输入,5 个多尺度侧输出 + 1×1 融合层,专注细线,识别准确率远远大于 UNet / ROI+UNet。
3. OPLL Segmentation (CT)
基于 223 例颈部矢状面 CT 数据训练 UNet 模型进行精细颈部后沿韧带骨化预测。
技术要点与训练细节
- 架构:基于经典 U-Net(2D)进行端到端分割,采用下采样-上采样对称结构以保证精细边界恢复;损失采用 Dice + BCE 混合以兼顾区域与边界质量。
引用
4. 语言大模型接入辅助诊断
可接入豆包Seed、DeepSeek等大模型传入量化数据进行辅助诊断。
团队介绍
远程推理服务状态
资源使用情况
性能图表
CPU
MEM
更新 HealthIT-AI脊柱辅助诊断系统 V1.1
- 2026 / 2 / 14 3:13
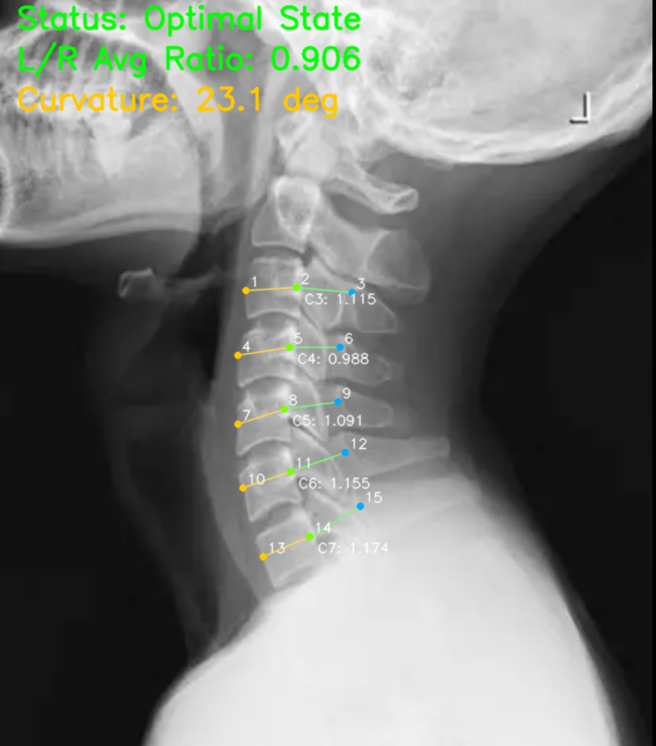
添加颈部X光识别,通过椎管与椎骨的量化标准评判颈椎的健康度。
颈椎椎管 精确标记例
更新 HealthIT-AI脊柱辅助诊断系统 V1.0
- 2026 / 1 / 24 3:13
将传统通过点标记训练的 UNet 峰值 22 通道分类模型 + UNet ROI 窗口粗分割模型 替换为对线性顺序和先验顺序更精确的 HRNet 模型,识别率提高并且对于复杂情况的识别能力大幅提升。
将 UNet 训练的髂脊线识别模型(UNet 只适合进行分割,对于线段识别定位预测为概率热图,并不方便进行线段化)替换为 VGG16-BN 专注于线段提取。
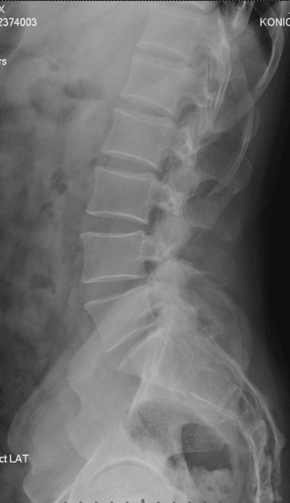
椎骨 / 髂骨 精确标记例
更新 HealthIT-AI脊柱辅助诊断系统 Beta - L4/L5 Locator 模型
- 2026 / 1 / 23 12:00
因为 UNet 本身并不具备学习线性关系、先验关系的能力,只能在训练阶段通过 Loss 约束各个通道的信息,但是更易使得模型只学习到椎骨的图谱相对位置,并不适合做定位。
将 UNet 22通道 版本替换为 UNet ROI 椎骨粗分割模型 + UNet 22通道分类版本,让 ROI 粗分割窗口做先验识别,准确度相比于传统 22通道 UNet 提高约 31% .
ROI 粗分割例
UNet 精确标记例





